We will always give our Patients a treatment plan first so they really understand what will be happening to their teeth. We want you to be as comfortable as possible on this journey with us. Below are a few examples of how treatment plans will be displayed using DDS GP.
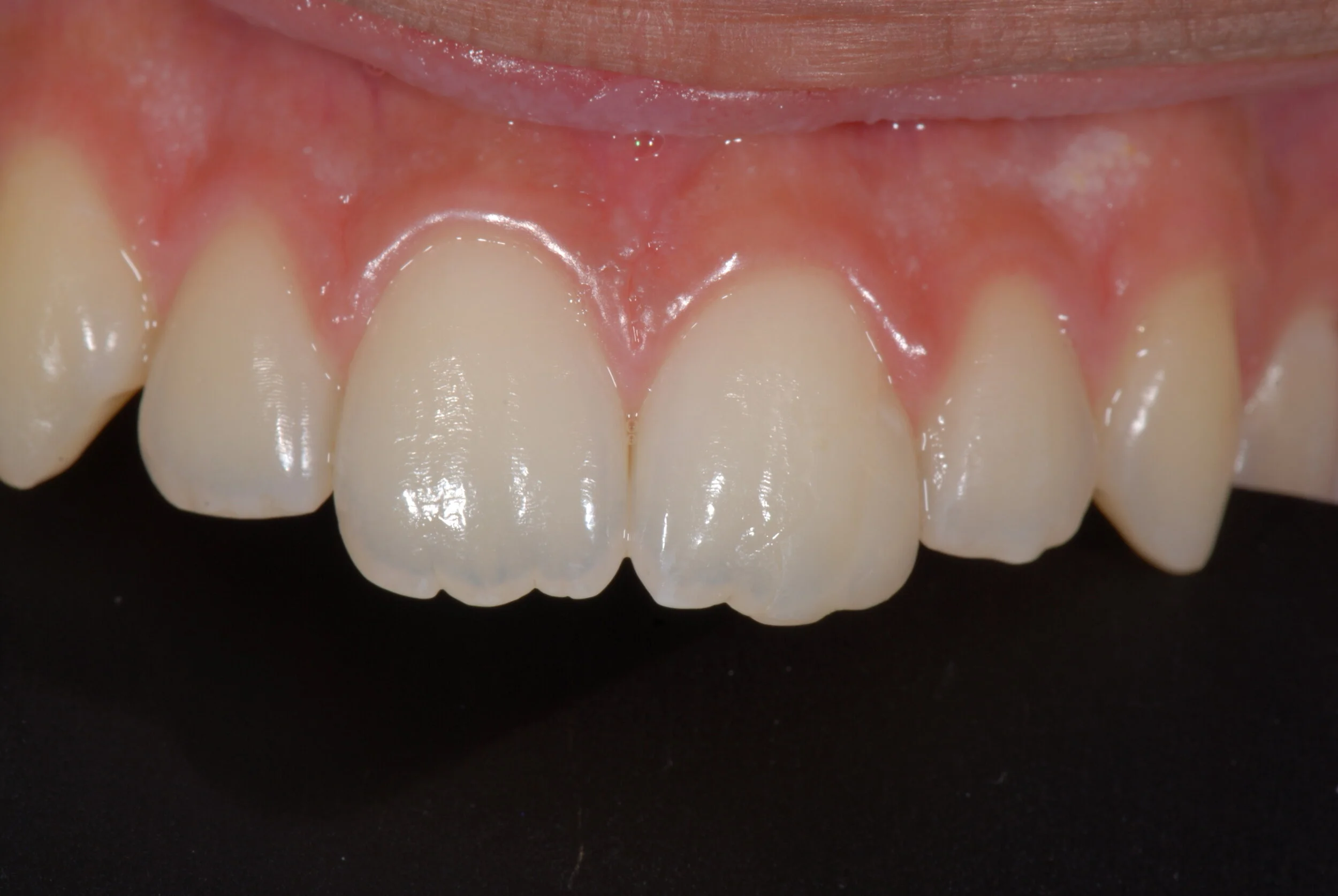
Composite Veneer
Immediate Implant, Posterior
Composite Veneer
Crown Lengthening
Gingivectomy
Our recent patients have loved their work we have done for them! Here are some of our recent cases we have proudly worked on.
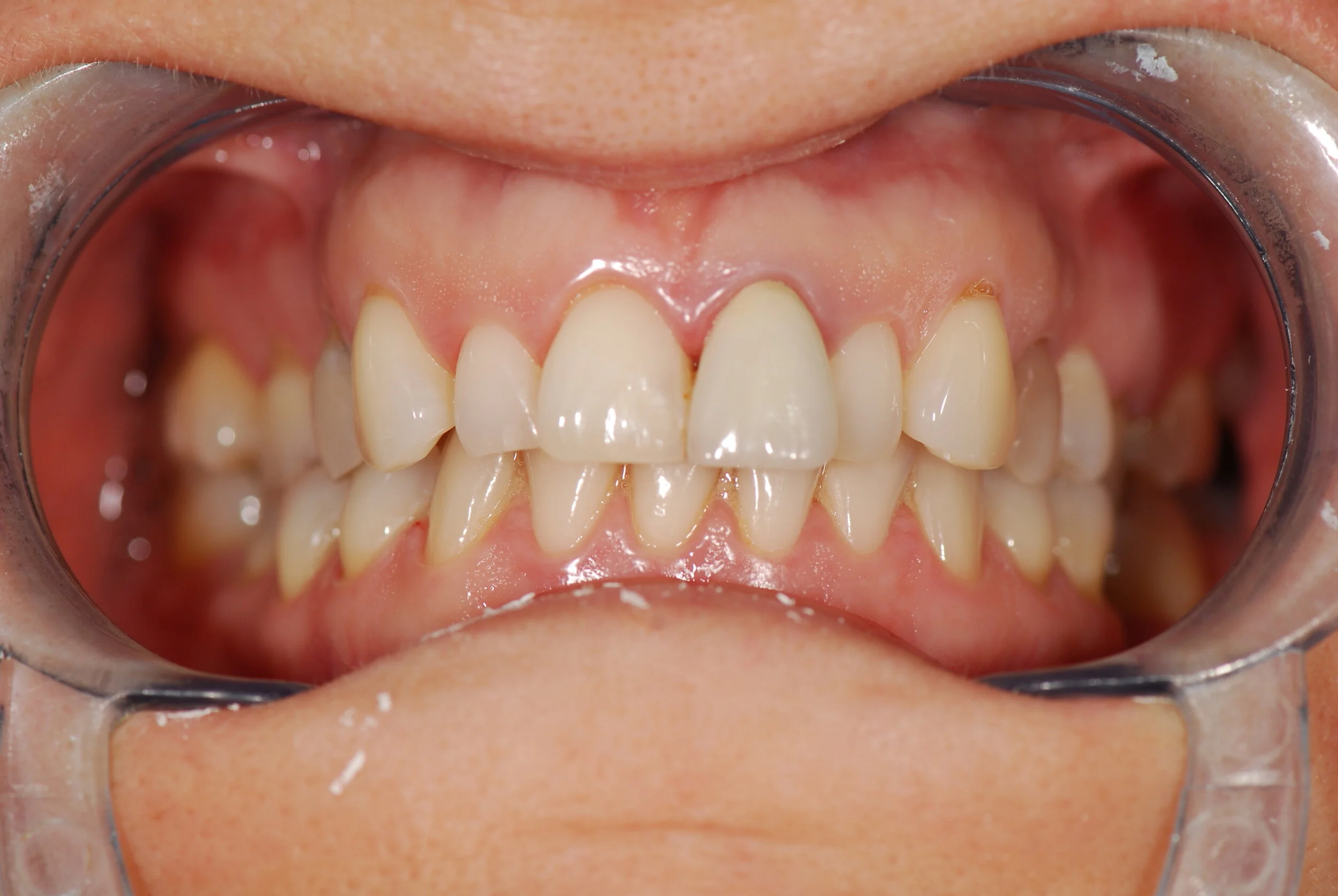
Broken Incisor
What we will do
Treatments for a chipped, broken or cracked tooth include:
- gluing the fragment of tooth back on 
- a filling or a crown (a cap that completely covers the broken tooth) 
- root canal treatment for a badly broken tooth where the nerves are exposed 
Composite Veneers
What is Cosmetic Dentistry?
Cosmetic dentistry is generally used to refer to any dental work that improves the appearance of a person’s teeth and gums, for example using veneers to mask the appearance of yellowing teeth and to create a beautiful smile. Aesthetic dentistry involves more than cosmetic dentistry. It incorporates effective and comfortable functionality of the dentition. Aesthetic dentistry aims to provide the best solution for your dental health while at the same time achieving a natural and beautiful appearance.
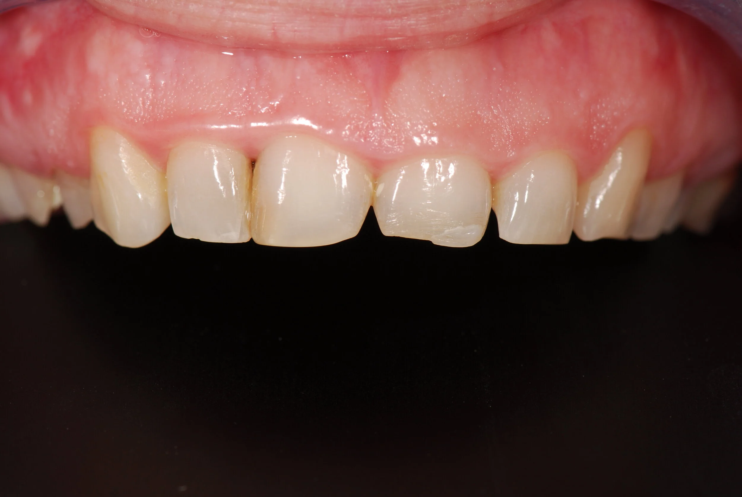
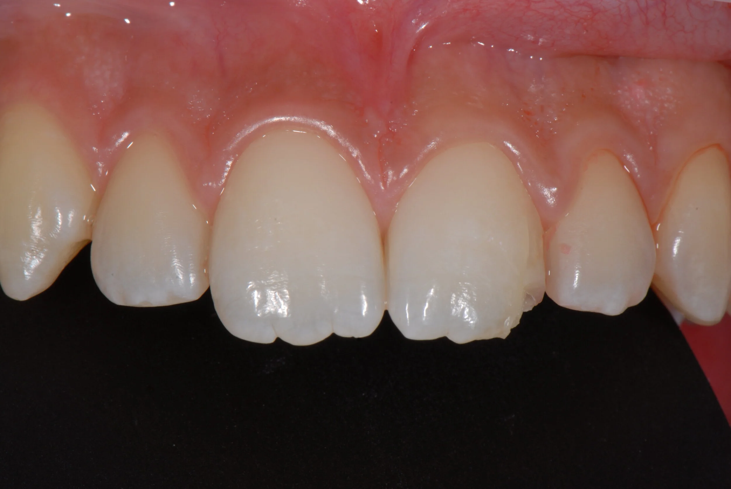
Changing Old Crown
What are Crowns?
Crowns are made of porcelain or ceramic or porcelain fused to metal or gold, known as PFM, for added strength. However, they can crack or break, especially when trauma is involved. If you have had a fall, bitten on a hard toffee or have been injured in contact sports, you can damage your crown.
We will make sure your crown is always perfect!
 
           
                 
                 
                 
                 
                 
                 
                 
                 
                 
                 
                 
                 
                 
                 
                 
                 
                 
                 
                 
                